A SOEP tem como pilar central o compromisso com o desenvolvimento da odontologia e da comunidade rondoniense, fortalecendo sua atuação por meio de uma relação próxima com a comunidade acadêmica e profissional.
Além de promover ensino de excelência, a instituição investe em atividades que unem teoria, prática e inovação, sempre alinhadas às necessidades do mercado e ao avanço científico. Dessa forma, a SOEP contribui não apenas para a formação de profissionais altamente qualificados, mas também para a evolução contínua da saúde e bem-estar da população.

Dispositivo dental usado para corrigir o alinhamento dos dentes e ossos da mandíbula e maxila.

Tratamento estético que remove manchas e pigmentos de bebidas, alimentos e hábitos, tornando os dentes mais brancos.

A cirurgia bucal engloba todos os procedimentos cirúrgicos realizados na boca, dentes, maxilares e tecidos adjacentes.

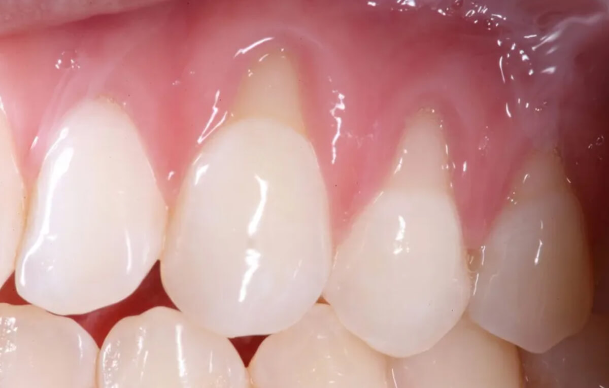
A cirurgia periodontal é um conjunto de procedimentos feitos por um dentista especialista para tratar doenças gengivais avançadas,.

Remoção do terceiro molar, um procedimento cirúrgico realizado por um cirurgião-dentista sob anestesia local.

Limpeza e raspagem são procedimentos odontológicos relacionados, mas distintos.

Fina camada de material cerâmico ou resina, colada na superfície frontal dos dentes para melhorar a estética e corrigir imperfeições.

Conjunto de procedimentos estéticos, geralmente não cirúrgicos, que visa equilibrar e realçar os traços do rosto.

tratamento odontológico que reconstrói e devolve a forma, função e aparência de um dente danificado por cáries ou traumas.

Procedimento odontológico que remove a polpa dentária infeccionada ou morta de um dente.

Uma raiz artificial, geralmente de titânio, que é cirurgicamente inserida no osso do maxilar ou mandíbula.

Lente de contato dental é uma finíssima película de porcelana ou resina, com cerca de 0,2 a 1 mm de espessura.

Uma prótese dentária é uma estrutura artificial feita para substituir um ou mais dentes perdidos.

R. Elias Gorayeb, 920 – Nossa Sra. das Graças, Porto Velho – CEP: 78804432
Copyright © 2025 Todos os direitos reservados. Site desenvolvido por Agência Simi.