A Ortodontia evoluiu. Sua mecânica não pode ficar para trás.
A dependência da colaboração do paciente sempre limitou a previsibilidade dos tratamentos ortodônticos. Os miniimplantes mudaram esse cenário.
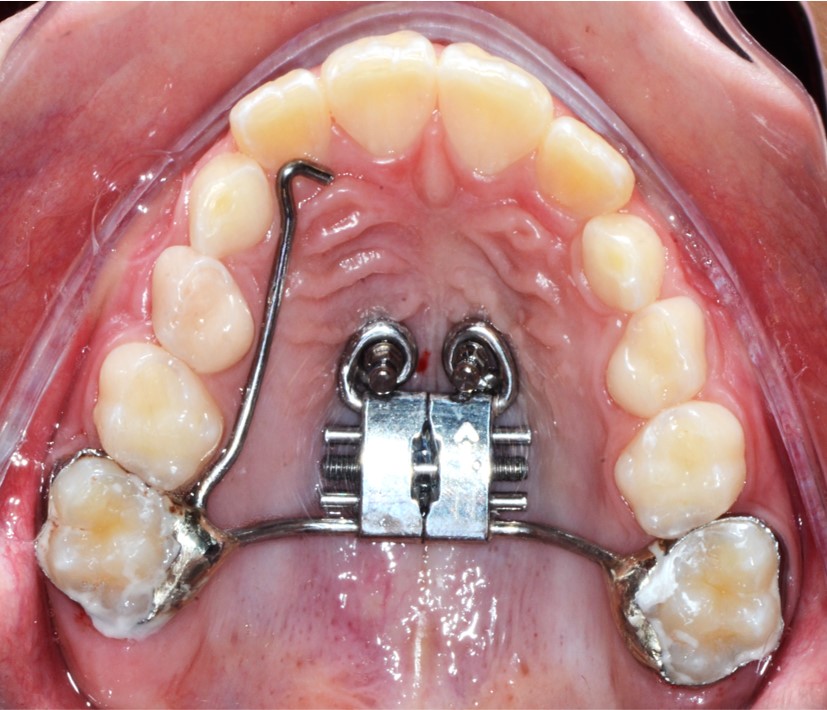
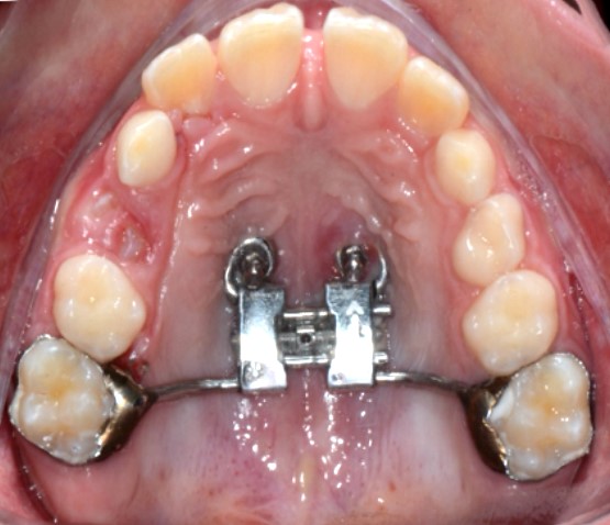
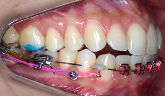
Com ancoragem absoluta, o ortodontista conquista liberdade biomecânica para tratar Classes II e III, fechar espaços por perda de molares e recuperar dentes extruídos com controle e previsibilidade.
Dominar mini-implantes é essencial. Curso prático e objetivo para aplicar essa mecânica na rotina clínica. Atualize sua mecânica.
É hora de mudar.
Prof. Dr. Marcelo Valerio.
Aulas expositivas
- Indicações dos mini-implantes inter-radiculares e extra-alveolares;
- Preparo do arco de aço para retração anterior e distalização;
- Confecção de diferentes cantilevers para verticalização e mesialização de molar;
- Inserção de mini-implantes em manequins;
- Clínica com atendimento de pacientes;
- Áreas anatômicas seguras e escolha do mini-implante ideal;
- Técnicas de instalação e momento correto da colocação;
- Extração Vs. distalização: como decidir com segurança!
- Mecânicas de retração anterior e distalização em Classes I, II e III;
- Correção de linha média;
- Prevenção e reversão de efeitos colaterais;
- Intrusão, verticalização e mesialização de dentes anteriores e posteriores;
- Manejo da sobremordida profunda e mordida aberta anterior;
- Uso ortopédico: disjunção palatina e protração maxilar ancoradas em mini-implantes.
Atividades práticas
- Preparo do arco de aço para retração anterior e distalização;
- Confecção de diferentes cantilevers para verticalização e mesialização de molar;
- Inserção de mini-implantes em manequins;
- Clínica com atendimento de pacientes;
Ficha de inscrição preenchidas e comprovante de pagamento da taxa de R$ 100,00
(Para informações sobre taxa de matrícula e outras opções de parcelamento, consulte).
Para efetuar sua matrícula, clique no botão abaixo e fale diretamente com a nossa equipe via WhatsApp.

Professor dos cursos de Especialização em Ortodontia do CPO Bauru e CPO Sorocaba | Especialista em Ortodontia e Ortopedia Dentofacial, Mestre e Doutor em Ortodontia pela FOB USP | Revisor científico de diversos periódicos internacionais de Ortodontia Prática privada exclusivamente ortodôntica.
Veja abaixo quais professores compõem nosso quadro de docentes.

Professor dos cursos de Especialização em Ortodontia do CPO Bauru e CPO Sorocaba | Especialista em Ortodontia e Ortopedia Dentofacial, Mestre e Doutor em Ortodontia pela FOB USP | Revisor científico de diversos periódicos internacionais de Ortodontia Prática privada exclusivamente ortodôntica.
Além do corpo de professores efetivos, nossas especializações convidam profissionais renomados em áreas específicas para compartilhar seus conhecimentos.

R. Elias Gorayeb, 920 – Nossa Sra. das Graças, Porto Velho – CEP: 78804432
Copyright © 2025 Todos os direitos reservados. Site desenvolvido por Agência Simi.