João Carlos Vicente de Barros Junior1, Davideney Silva Morais1, Marilia Patricia de Lima Silva2,
Yuri Cassio de Lima Silva2, Leandro Lécio de Sousa2, Sergio Charifker Ribeiro Martins2, Bruno
Costa Martins de Sá1 and Tarcio Hiroshi Ishimine Skiba1*
1Department of Implantology and Periodontology RIDGE (Reseach Implant Dentistry and Graft Expetise) / ICS FUNORT, Brazil.
2Department of Implantology and Periodontology SOEP – Dental Study and Research System / ICS FACSET, Brazil.
*Corresponding Author: Tarcio Hiroshi Ishimine Skiba, Department of Implantology and Periodontology RIDGE (Reseach Implant
Dentistry and Graft Expetise) / ICS FUNORT, Brazil.
DOI: https://doi.org/10.58624/SVOADE.2023.04.0123
Received: February 22, 2023 Published: March 10, 2023
Abstract
The modified roll flap technique is a procedure in which a pedicled connective tissue is harvested and rolled from the
palate into the oral mucosa in order to increase the peri-implant soft tissue width. This technique is effective, provides
an excellent alternative for the soft tissue recovery of deficient areas, improves gingival phenotype and aesthetics. The
aim of this paper is to report a clinical case in which the modified roll technique was employed along with the placement
of a provisional.
Keywords: Oral Surgical Procedures, Oral surgery, Dental implants
Introduction
Over time, aesthetics became a paramount subject in dentistry, which resulted in the development of techniques that
promote buccal harmony to the patient. Dental implants, along with soft tissue grafting techniques, are a promising rehabilitation procedure for missing teeth [1].
One may often encounter hard and soft tissue deficiency in missing teeth area which will preclude the correct tridimensional placement of implants. Besides, the crestal deformity may cause hygiene and aesthetic issues [2]. A tooth loss
causes an alveolar bone damage consequently leading to a crestal volume reduction. It also may be caused by trauma,
infections, odontogenic tumors, developmental issues, among others [2-3].
As consequence, some surgical procedures were developed aiming to augment soft tissue in order to correct crestal deficiencies and enhance soft tissue width. These techniques are namely: free gingival graft, connective tissue graft, roll flap
technique and modified roll flap technique [3].
The modified roll flap technique encompasses a broader rolling connective tissue volume, what consequently minimizes
the bone exposure and preserves the epithelium above, coming up with an easier post operatory recovery time for the
patients [2]. This technique is indicated for mild or moderate cases [5].
Case Report
A 22-year-old female patient was referred to an implant-based rehabilitation due to the loss of the right upper second
premolar due to trauma.
Her medical exam revealed no alterations whereas the intraoral examination revealed the absence of the Upper right
second premolar along with a buccal crestal depression. As consequence, it was planned for this case a roll flap technique, along with dental implant placement and provisional crown.
The patient was given 1 hour preoperatively: Amoxicillin 500mg (EMS – Germed Farmace utica, Sa o Paulo-Brasil), 2 capsules P.O., Dexamethasone 4mg (EMS S/A, Sa o Paulo- Brasil), 1 tablet P.O. and Dipyrone 500mg (EMS S/A, Sa o Paulo- Brasil), 1 tablet P.O. The anesthetic drug of choice was mepivacaine 2% and epinephrine 1:100.000 (Crista lia Produtos
Quí micos Farmace uticos Ltda., Sa o Paulo-Brasil).
With the aid of a 15C blade an incision was conducted on palate, close to the alveolar ridge and after that the epithelium
was removed so that only the connective tissue was left. Hence, the connective tissue flap was detached and moved buccally. From that moment on the implant was placed in the ridge.
Vertical mattress sutures were performed with PTFE 5-0 sutures so that the roll flap was placed buccally like an envelope.
A screw retained temporary restauration was built over a 4.5 x 4 mm titanium provisional abutment – Linha Ideale
(Implacil De Bortoli, Sa o Paulo-Brasil), along with Ideale 4,5 x 4 x 1,5 mm abutment (Implacil De Bortoli, Sa o PauloBrasil). A Maestro 4 mm x 11 mm implant was placed (Implacil De Bortoli, Sa o Paulo-Brasil) reaching a torque close to 40N.
The patient was prescribed to take postoperatively Amoxicillin 500mg (EMS – Germed Farmace utica, Sa o Paulo- Brazil) 1
capsule every 8 hours P.O. for 7 dias; Nimesulide 100mg (Eurofarma Laborato rios S/A, Sa o Paulo-Brazil) 1 tablet P.O.
every 12 hours for 3 days; and Dipirona 500mg (Sanofi Medley Farmace utica Ltda., Sa o Paulo-Brazil) 1 tablet P.O. every
6 horas in case of moderate pain. Besides, the patient was advised to take a soft and cold diet.
The post operative follow up was taken monthly, both clinically and radiographically. The surgery site healed uneventfully, and the surgical procedure provided satisfactory aesthetical results.

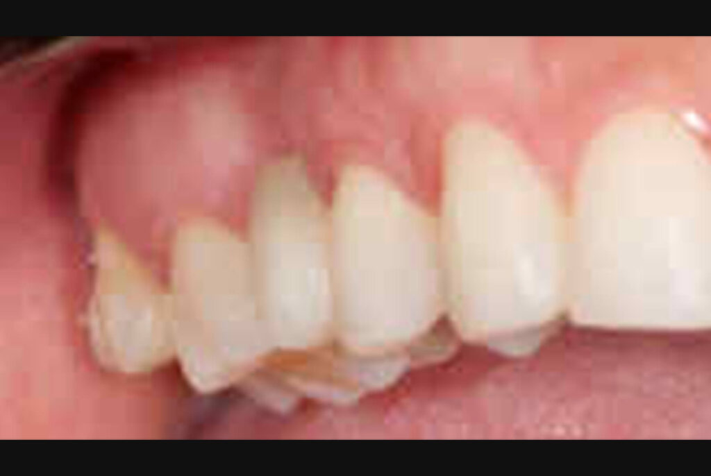
Figure 1 – Region of tooth 14,
showing deep gingiva.

Figure 2 – Occlusal region of tooth 14

Figure 3 – Surgical incision planning

Figure 4 – Incision and de-epithelialization of the connective
tissue.

Figure 5 – Detachment of
de-epithelialized tissue.

Figure 6 – Implant installation hole.

Figure 7– Preparation of the
temporary tooth with a 5 x 4
titanium coping.

Figure 8 – Placement of the Implacil Maestro 4 x 11 Implant.

Figure 9 – Torque ratchet.



