The influence of tooth gemination in the orthodontic treatment plan with extraction
Juliana Pinheiro Sheidt Porto*, Juliana Volpato Curi Paccini**, Eduardo Alvares Dainesi***,
Andréia Boff Lemos****, Fabrício Pinelli Valarelli*****
RESUMO – Protocolos com extrações dentárias representam uma opção válida de planejamento para a correção ortodôntica de muitas más-oclusões. Normalmente, opta-se pela extração de pré-molares.
Contudo, a escolha de qual dente deve ser removido depende muito da sua integridade, e também do seu periodonto de sustentação e proteção. Outro fator que norteia a opção de extração recai sobre as anomalias de forma, de número e de posição que possam ou não comprometer o resultado estético ou funcional do final do tratamento.
Este trabalho visou apresentar um tratamento ortodôntico com extrações de dois primeiros pré-molares superiores e de um incisivo inferior geminado. Os resultados clínico e radiográfico finais indicaram uma adequação da oclusão estática e funcional, além de proporcionar uma estética favorável do sorriso com harmonia facial.
Unitermos – Anormalidades dentárias; Fechamento de espaço ortodôntico; Extração dentária; Estética dentária.
ABSTRACT – Protocols with extractions represent a valid option for planning orthodontic correction of many malocclusions. In this case, the option is usually by extraction of premolars. However the choice of which teeth should be removed depends greatly on the integrity of the tooth and also their support and periodontal protection. Another factor
that guides the extraction option is on the anomalies of shape, number, position, which may or may not compromise the final functional and aesthetic results of the treatment. This paper presents a orthodontic treatment with extraction of two maxillary first premolars and one mandibular incisor geminated. The clinical and radiographic results indicated a final adjustment of the static and functional occlusion, and provide a favorable aesthetic smile with facial harmony.
Key Words – Dental abnormalities; Space closure; Tooth extraction; Dental esthetics.
*Especialista em Ortodontia – Soep/Ciodonto.
**Mestre em Ortodontia – Universidade Cidade de São Paulo (Unicid); Professora do curso de especialização em Ortodontia – Soep/Ciodonto.
***Pós-doutor em Ortodontia – Faculdade de Odontologia de Bauru/USP; Coordenador do curso em Ortodontia – Unies/FAP.
****Especialista em Ortodontia – Soep/Ciodonto.
*****Doutor em Ortodontia – Faculdade de Odontologia de Bauru/USP; Professor do curso de Mestrado – Faculdade Ingá; Coordenador do curso em Ortodontia –
Soep/Ciodonto.
Recebido em: jul/2013 – Aprovado em: set/2013
Introdução
Quando o planejamento ortodôntico envolve extrações dentárias¹⁻², normalmente os dentes de eleição são os pré molares³⁻⁴. Em muitos casos, planeja-se a extração de dentes hígidos, mesmo na presença de dentes em condições desfavoráveis, como dentes com restaurações extensas ou com tratamento endodôntico inadequado. Este tipo de conduta, muitas vezes, representa o receio que muitos profissionais exibem ao realizarem um diagnóstico e planejamento ortodôntico⁵.
Um bom diagnóstico e planejamento devem ser realizados para que a má-oclusão seja corrigida no menor espaço de tempo, causando o menor dano ao paciente, promovendo uma boa função mastigatória e sanando a expectativa em relação
à correção do problema. Em certas situações, a extração de um incisivo inferior torna-se necessária para que os objetivos
terapêuticos sejam alcançados com maior eficiência⁶, sobretudo quando dentes anteriores apresentam anomalias de forma
como geminação ou fusão.
A geminação caracteriza-se por uma anomalia de forma, na qual um germe dentário em desenvolvimento tenta se dividir,
resultando em um único dente com uma coroa bífida, mais larga e com uma única raiz e canal radicular, podendo ser confirmada radiograficamente. Como consequência, este dente exibe tamanho e forma diferentes⁷⁻⁹, causando alteração no comprimento e no perímetro do arco dentário onde está inserido.
Este trabalho apresenta um tratamento ortodôntico de uma má-oclusão de Classe II, subdivisão esquerda, de severidade moderada, com apinhamento superior na região de caninos e presença de um dente geminado na região anteroinferior.
Opções|de|tratamento Mediante a queixa da paciente e as características da má oclusão encontradas no diagnóstico inicial (suave biprotrusão e apinhamento moderado), e visando uma oclusão satisfatória e estética do sorriso ao final da correção, o plano de tratamento foi traçado com um protocolo de extrações dentárias.
Dois protocolos foram considerados: o primeiro, com extrações dos quatro primeiros pré-molares. O segundo, com
extrações dos primeiros pré-molares superiores e de um dente geminado na região anteroinferior.
De consenso, optou-se pelo segundo protocolo, devido principalmente à preservação de dentes hígidos (pré-molares
inferiores) e à presença de tratamento endodôntico realizado no dente geminado, somados à anatomia desfavorável da coroa deste dente, o que poderia resultar em comprometimento estético do sorriso ao final do tratamento.
Relato de Caso Clínico
Paciente com 18 anos e cinco meses, melanoderma, gênero feminino, apresentou-se para tratamento na clínica ortodôntica com queixa principal de apinhamento dentário na região de caninos superiores. Ao exame clínico extrabucal,
observou-se uma face com o padrão equilibrado, perfil suavemente convexo e selamento labial passivo (Figuras 1).
Na análise intrabucal, observou-se má-oclusão de Classe II, subdivisão esquerda de severidade moderada¹⁰, dentes 13 e 23
em infravestibuloversão, dente geminado (41 e 31) na região anteroinferior (anomalia de forma), trespasse horizontal de 3


mm, tecidos bucais em condições de normalidade e a presença de todos os dentes permanentes até os segundos molares.
A linha média superior encontrava-se coincidente com o plano sagital mediano, e o dente inferior geminado encontrava-se ao centro do plano sagital mediano (Figuras 2).
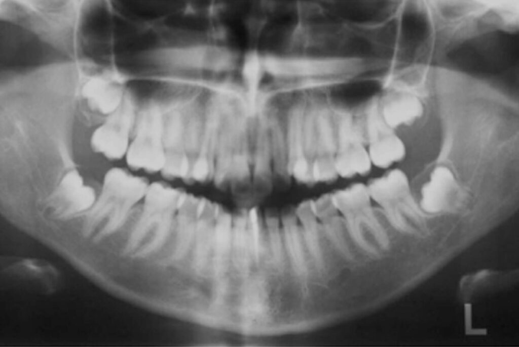
Pela radiografia panorâmica, observou-se a presença de todos os dentes permanentes e estruturas adjacentes com
aspecto de normalidade. Constatou-se a presença de tratamento endodôntico no dente geminado localizado na região
de incisivos centrais inferiores (Figura 3).
Na radiografia periapical, foi observada a presença de um único conduto radicular, tratado endodonticamente, no dente
geminado (Figura 4).
Plano|de|tratamento
O plano de tratamento objetivou o favorecimento do alinhamento dos dentes superiores e, ao mesmo tempo, a promoção
da estética e da função dos dentes anteroinferiores.
Após a colagem dos acessórios pré-ajustados (prescrição Roth 0,022” x 0,028”), procedeu-se às extrações dos dentes
14, 24 (primeiros pré-molares superiores) e do incisivo geminado inferior. A extração do dente geminado fará com que os
caninos inferiores ocupem a posição dos incisivos laterais ao final do tratamento.
Iniciou-se, então, o processo de alinhamento e nivelamento dos arcos dentários com arcos redondos de níquel-titânio
(NiTi) superelásticos (0,014”; 0,016”), acompanhados pela




mecânica de retração inicial dos caninos superiores (RICs), com o objetivo de minimizar a protrusão e a vestibularização
dos incisivos superiores durante essa fase do tratamento. Os segundos molares superiores também foram bandados para
ajudar na ancoragem durante a fase de retração inicial de caninos (Figuras 5).
A colagem dos acessórios inferiores foi realizada angulando-se os braquetes dos incisivos laterais inferiores em aproximadamente -5o (angulação negativa do longo eixo do dente em relação ao plano oclusal). Essa modificação na colagem dos acessórios foi realizada para promover a mesialização das raízes desses dentes durante o alinhamento e nivelamento, facilitando o fechamento do espaço e a obtenção do paralelismo entre as raízes ao final do tratamento ortodôntico.
Após a fase de alinhamento e nivelamento com arcos redondos de níquel-titânio e aço, iniciou-se o fechamento dos
espaços com arcos retangulares de aço 0,019” x 0,025” utilizando elástico em cadeia concomitante ao uso de elástico de
Classe II bilateral (3/16” força média), Figuras 6.
Com a extração do incisivo inferior geminado e a mecânica de fechamento de espaços, há uma tendência ao aumento
da sobremordida. Para controlar esse efeito, foi realizada a reversão da curva de Spee inferior por meio do arco retangular
de aço 0,019” x 0,025”. Também, devido à remoção do dente inferior, foi gerada uma discrepância de proporcionalidade de
massa dentária entre os dentes superiores e inferiores, detectada pela análise de Bolton, causada pelos caninos inferiores
que assumiram o local dos incisivos laterais inferiores. Dessa forma, foram realizados desgastes na face mesial e distal de
caninos inferiores, com o objetivo de aproximá-los da forma de incisivos laterais, já que os mesmos exercerão esta função
ao final do tratamento.
Na fase final do tratamento, as bandas dos molares superiores foram substituídas por tubos colados com o objetivo de
facilitar o ajuste na angulação desses dentes.
Após o fechamento dos espaços, iniciou-se a intercuspidação bilateral, realizada com elásticos 1/8” de força média, colocados nos caninos e incisivos laterais superiores com pré-molares inferiores (Figuras 7). Após a finalização da
fase de intercuspidação, foi realizada a remoção do aparelho



rtodôntico e instalação dos aparelhos de contenção (placa de Hawley superior e 2 x 2 inferior), Figuras 8. Pôde-se observar os molares em Classe I e a adequação da linha média dentária superior com a inferior, proporcionando função e
estética favorável.
Nas fotografias extrabucais finais, pôde-se observar a harmonia do sorriso e a satisfação da paciente em relação ao
tratamento realizado (Figuras 9). Na radiografia panorâmica final, observa-se o posicionamento final dos incisivos inferiores
(Figura 10).
Comparando-se as imagens das telerradiografias inicial e final, observou-se a lingualização dos incisivos superiores e inferiores, melhorando o perfil tegumentar da paciente (Figuras 11).
Pela radiografia periapical dos dentes anteroinferiores, pôde-se verificar o paralelismo radicular dos incisivos (Figura 12).
Resultados
Comparando-se os valores cefalométricos iniciais e finais, pôde-se verificar que não houve grandes alterações promovidas
pelo tratamento ortodôntico. Os componentes esqueléticos
da maxila e mandíbula não sofreram alterações significativas (Tabela 1). Isso já era esperado, visto que trata-se de paciente
adulta e, portanto, sem potencial de crescimento.
No componente dentoalveolar superior, os incisivos apresentaram alterações em sua posição, onde pôde-se concluir
que houve lingualização, retração e extrusão dos mesmos (variáveis – IS.NA, IS-NA, IS-PP).
Os molares superiores e inferiores sofreram mesialização (variáveis – MS-Ptvertical e MI-Sínfise), em relação ao início do
tratamento.
No componente dentoalveolar inferior, não foram observadas grandes alterações, havendo apenas uma suave intrusão
e lingualização dos mesmos (variáveis – II.NB, II-NB, II-GoMe), enquanto que os molares inferiores mostraram pequena mesialização.
Durante o tratamento, houve diminuição da sobressaliência e um suave aumento da sobremordida. Em relação ao perfil
tegumentar, notou-se uma pequena retração dos lábios superiores (Ls-Linha S), favorecendo o selamento labial da paciente,
que no início do tratamento apresentava-se com abertura de 5,7 mm e ao final apresentou-se com 0,5 mm.
Discussão
As extrações dentárias passaram a desempenhar um papel importante na correção das más-oclusões, principalmente com
Tweed na década de 1930, que convencionou as extrações de pré-molares como fator determinante para a dissolução dos apinhamentos dentários2. Atualmente, os protocolos com extrações são comumente realizados nos tratamentos ortodônticos e, quando bem indicados, possibilitam a adequação da oclusão normal, estética facial e do sorriso. Após um minucioso diagnóstico, o caso apresentado neste trabalho foi planejado com a necessidade de extrações dentárias para a correção da má-oclusão, principalmente devido à presença de uma suave biprotrusão e de um apinhamento anterossuperior, além de queixa da paciente em relação à falta de selamento labial passivo.
Convencionalmente, os dentes a serem extraídos no tratamento ortodôntico são os pré-molares, devido à localização
próxima ao apinhamento anterior, além de evitar o comprometimento da estética do sorriso na fase de finalização5.
Entretanto, quando a má-oclusão apresenta um dente com alteração de forma, cor ou problemas relativos à sua integridade (restaurações extensas, tratamento endodôntico, lesão radicular periapical, entre outras), a indicação mais favorável para beneficiar o paciente recai sobre a remoção do dente que apresenta este problema6,11. Como no caso disposto nesse artigo a jovem apresentava um dente na região anteroinferior com anomalia de forma (geminado) e com tratamento endodôntico realizado, optou-se pela extração deste dente, em vez de dois primeiros pré-molares inferiores que se encontravam totalmente hígidos.
Assim, o caso foi planejado com a necessidade de extração dos primeiros pré-molares superiores e do dente geminado na
região anteroinferior, com a finalidade de corrigir a má-oclusão, eliminando o apinhamento superior, e de atender a queixa
principal da paciente de permitir um selamento labial passivo.
Como a jovem não se encontrava mais em fase de crescimento (apresentava-se com 18 anos de idade ao início do tratamento), as alterações promovidas pelo tratamento realizado foram essencialmente dentoalveolares, uma vez que pacientes adultos não apresentam crescimento significativo, durante o tratamento ortodôntico, que possa promover alterações nos componentes esqueléticos da maxila e mandíbula, ou mesmo nos componentes verticais12-14 (Figura 13).
Normalmente, extrações dentárias favorecem a inclinação e a retração dos incisivos superiores15. Com relação às alterações dentoalveolares promovidas neste caso, verificou-se uma lingualização dos incisivos superiores, acompanhada de


retração e suave extrusão, como demonstram as alterações das variáveis IS.NA, IS-NA e IS-PP, respectivamente. A alteração
mais evidente foi a lingualização dos incisivos superiores, esperada e necessária para a correção da sobressaliência (overjet)
causada pela protrusão inicial destes dentes, e para a correção do selamento labial, melhorando a estética facial da paciente.
Esperava-se que no componente dentoalveolar anteroinferior não houvesse alterações significativas, visto que a
extração do dente geminado, localizado na região anteroinferior do arco, tinha a finalidade de obter o espaço necessário para
proporcionar a correção da má-oclusão, sem promover a lingualização ou a retração dos dentes anteriores, corroborando
com estudos16 que indicavam que as extrações de dentes anteriores promovem menores alterações dentárias ao final do
tratamento, quando comparadas a extrações de outros dentes.
Devido à utilização de elásticos de Classe II para a correção anteroposterior, houve mesialização dos molares inferiores. O
mesmo foi observado em um estudo17, no qual foi constatado que a mesialização dos molares inferiores frequentemente
ocorre quando há utilização de elásticos de Classe II para auxiliar a correção da má-oclusão.
Pode-se observar uma significativa melhora do perfil tegumentar, causada pela retração dos dentes anteriores, possibilitando melhora na convexidade facial e selamento labial passivo (Figuras 9 e 13). O mesmo foi observado em outro estudo18,
com relação aos lábios superiores e inferiores, indicando que estes assumem uma posição mais retruída nos casos tratados
com extrações dentárias.
Com o plano de tratamento escolhido, foi possível promover à paciente uma oclusão estática e funcional adequada,
já que os caninos inferiores puderam ser transformados em incisivos laterais e os primeiros pré-molares exercerão a função
dos caninos na oclusão funcional.
Conclusão
A grande vantagem obtida pela indicação da extração do dente geminado em questão foi a possibilidade de devolver à
paciente uma oclusão normal, com função e estética favorável, estabelecendo assim um sorriso equilibrado e harmonioso, com mínimas alterações no arco. Neste caso, a preservação de dentes hígidos no arco inferior só foi possível devido à presença de um dente com anatomia comprometida e desvitalizado. Assim, quando se consegue realiza r um correto diagnóstico e um bom plano de tratamento, as extrações atípicas são bem indicadas, principalmente levando-se em consideração a preservação de dentes hígidos.
Nota de esclarecimento
Nós, os autores deste trabalho, não recebemos apoio financeiro para pesquisa dado por organizações que possam ter ganho ou perda com a publicação deste trabalho.
Nós, ou os membros de nossas famílias, não recebemos honorários de consultoria ou fomos pagos como avaliadores por organizações que possam ter ganho ou perda com a publicação deste trabalho, não possuímos ações ou investimentos em organizações que também possam ter ganho ou perda com a publicação deste trabalho. Não recebemos honorários de apresentações vindos de organizações que com fins lucrativos possam ter ganho ou perda com a publicação deste trabalho, não estamos empregados pela entidade comercial que patrocinou o estudo e também não possuímos patentes ou royalties, nem trabalhamos como testemunha especializada, ou realizamos atividades para uma entidade com interesse financeiro nesta área.
Endereço para correspondência:
Fabrício Pinelli Valarelli
Rua Manoel Pereira Rolla, 12-75 – Apto. 503
17012-190 – Bauru – SP
Tel.: (14) 9111-0001
fabriciovalarelli@uol.com.br
Referências
1. Canut JA. Mandibular incisor extraction: indications and long-term evaluation. Eur J Orthod 1996;18(5):485-9.
2. Tweed CH. The application of the principles of the Edgewise arch in the treatment of Class II, division
1, malocclusion II. A discussion of extraction in the treatment of marked double protrusion cases. Angle Orthod, Appleton 1936;6(4):255-7.
3. Moreira TC, Mucha JN. A frequência de exodontias em tratamentos ortodônticos realizados na clínica do curso de mestrado em Ortodontia da Faculdade de Odontologia da UFRJ. Ortodontia Gaúcha 1997;1(2):121-30.
4. Proffit WR. Forty-year review of extraction frequencies at a university orthodontic clinic. Angle Orthod 1994;64(6):407-14.
5. Ozawa TO, Almeida AM, Freitas PZ. Programa de extrações seriadas: uma visão contemporânea. R Dental Press Ortodon Ortop facial 2001;6(2):91-108.
6. Kokich VG, Shapiro PA. Lower incisor extraction in orthodontic treatment: four clinical reports. Angle Orthod 1984;54:139-53.
7. Farman AG, Nortejé CJ, Wood RE. Oral and maxillofacial diagnostic imaging. Developmental dental abnormalities
1993:74-103 (completar).
8. Hagman FT. Anomalies of form and number, fused primary teeth, a correlation of the dentitions. J Dent Child, Baltimore 1988:359-61 (completar).
9. Pindborg JJ. Pathology of the dental hard tissues. Philadelphia: WB Saunders. 1970 (completar).
10. Wheeler TT, McGorray SP, Dolce C, Taylor MG, King GJ. Effectiveness of early treatment of Class II malocclusion. Am J Orthod Dentofacial Orthop. 2002;121(1):9-17.
11. Schuberth G, Shaughnessy T, Timmis D. Case report: mandibular advancement and reductiongenioplasty. Am J Orthod Dentofacial Orthop 1990;98:481-7.
12. Capelozza Filho L. Tratamento Ortodôntico em Adultos: uma Abordagem Direcionada. R Dental Press Ortodon
Ortop facial 2001;6(5):63-80.
13. Enlow DH. Crescimento Facial. Artes medicas, 1993. p.553.
14. Nattrass C, Sandy JR. Adult orthodontics-a review. Br J Orthod 1995;22(4):331-7.
15. Montero SR, Takahashi T, Reichenbach RC. Alterações do lábio superior decorrentes do tratamento ortodôntico associado a extração de pré-molares, nos casos de Classe II, divisão 1 de Angle. J Bras Ortodon Ortop Facial 2003;8(44):142-54.
16. Dacre JT. The long term effects of one lower incisor extraction. Eur J Orthod 1985;7(2):136-44.
17. Philippe J. Mechanical analysis of Class II elastics. J Clin Orthod 1995;29(6):367-72.
18. Kocadereli I. Changes in soft tissue profile after orthodontic treatment with and without extractions. Am J Orthod Dentofacial Orthop 2002;122(1):67-72



