The role of golden proportion in the non-extraction treatment

Leonardo Graboski de Castro1
Fabricio Pinelli Valarelli2
Juliana Volpato Curi Paccini3
Dino Lopes de Almeida4
Rodrigo Hermont Cançado2
Resumo
O presente relato clínico apresenta uma alternativa para o tratamento da discrepância dos tamanhos dentários entre os arcos com ênfase em conceitos estéticos. Considerando a queixa principal do paciente, optou-se pelo tratamento sem extrações com o intuito de corrigir a discrepância dentária e restabelecer a oclusão adequada. A técnica de desgaste dentário associada ao acréscimo de material resinoso seguiu os conceitos da proporção áurea. O tratamento de escolha, embora não tenha proporcionado alterações no selamento labial, proporcionou melhora oclusal, assim como uma agradável estética dos dentes e boa harmonia da face ao final da correção.
Descritores: Ortodontia, estética dentária, percepção visual.
Abstract
This clinical report presents an alternative treatment for mesiodistal dental discrepancy with emphasis on aesthetic concepts. Considering patient’s main complaint, it has been decided for a non-extraction treatment in order to correct dental discrepancy and restore proper occlusion. The dental wear technique associated with an increase of resinous material following the concepts of the golden proportion. The treatment did not promote lip seal alterations, but it has improved the occlusion and achieved a pleasing aesthetic result with good facial harmony.
Descriptors: Orthodontics, dental aesthetics, visual perception.
1 Especialista em Ortodontia, Professor do Curso de Especialização em Ortodontia – SOEP/FACSETE.
2 Doutor em Ortodontia, Professor de mestrado em Ortodontia – Faculdade Ingá.
3 Mestre em Ortodontia, Professora do curso de Especialização em Ortodontia – SOEP/FACSETE.
4 Doutorando em Ciências da Saúde – UNESP, Professor do Curso de Especialização de Ortodontia – SOEP/FACSETE.
E-mail do autor: fabriciovalarelli@uol.com.br
Recebido para publicação: 14/03/2016
Aprovado para publicação: 30/05/2016
Como citar este artigo:
Castro LG, Valarelli FP, Paccini JVC, Almeida DL, Cançado RH. A importância da proporção áurea no tratamento sem extrações dentárias. Orthod. Sci.
Pract. 2017; 10(37):67-74. DOI: 10.24077/2017;1037-01671248.
Introdução
Os ortodontistas em sua rotina clínica se deparam com casos de más oclusões que envolvem dentes com tamanhos desproporcionais2. Para que os dentes superiores possam ocluir correta e harmoniosamente com os dentes antagonistas, deve existir uma relação de proporcionalidade entre eles2. Sendo assim, qualquer desarmonia nesse sentido pode acarretar problemas oclusais, como sobremordida, sobressaliência, diastemas, apinhamentos e mordida topo a topo13,19.
Ocasionalmente, um dente com tamanho desproporcional é facilmente detectado, porém, quando a desproporção envolve diversos elementos dentários, o diagnóstico para identificar os dentes envolvidos torna-se difícil8. Dessa maneira, a análise de Bolton é uma ferramenta valiosa para identificar desarmonias de tamanho dentário entre os arcos, auxiliando o profissional na correção de más oclusões provocadas pela falta de proporcionalidade entre os dentes4,8,10.
Na prática diária, essas desproporções quando tratadas sem extrações podem ser resolvidas de três maneiras: desgaste do excesso de massa dentária em questão, o acréscimo de material resinoso nos dentes proporcionalmente menores ou a associação das técnicas18. Contudo, um dos fatores determinantes para a escolha do plano de tratamento é a capacidade do
profissional em entender a abrangência, os conceitos e os limites previstos nos tratamentos ortodônticos e
a sua correlação com demais áreas da Odontologia6,19.
O conceito de beleza acompanha a existência humana. Os antigos pensadores gregos já descreviam que “a beleza é sempre fundamentalmente exata”17, baseando-se na teoria da divina proporção ou proporção áurea14,24. As definições e parâmetros das relações de tamanho apresentam-se como uma razão matemática que é observada na natureza, nas artes e nas formas do corpo humano e que expressa proporcionalidade entre as partes14,15,24.
As aplicações dos conceitos estéticos de proporção áurea visam melhor padronização das dimensões dentárias, quando estas necessitam de restaurações em resina composta24. O ortodontista deve procurar ter o domínio de áreas conexas a sua especialidade com o objetivo de satisfazer o anseio do paciente que apresenta a estética como razão principal pela busca
de tratamento3,9.
Atualmente, os tratamentos estéticos variados estão integrados na vida da sociedade com uma procura cada vez maior7,22. A utilização auxiliar da proporção áurea como padrão de finalização estética no tratamento ortodôntico não deve ser vista como um determinante absoluto para a finalização do caso, porém, ela promove um guia prático e comprovado para estabelecer o equilíbrio e a proporcionalidade em dentes anteriores23.
Este trabalho mostra uma alternativa de tratamento ortodôntico de uma má oclusão de Classe I com suave biprotrusão, sem extrações dentarias. Foi enfatizada a estética dos dentes anterossuperiores com finalidade de restaurar a harmonia do sorriso.
Relato de caso
Paciente JRNF, 11 anos 4 meses, gênero feminino, apresentou-se para tratamento na clínica ortodôntica com queixa principal de diastema entre os dentes superiores. No exame extrabucal, observou-se a forma oval da face, terço inferior da face aumentado, perfil facial convexo e selamento labial forçado apresentando a musculatura mental hipertônica (Figura 1A-C).
Na análise intrabucal, diagnosticou-se uma má oclusão de Classe I, trespasse vertical de 1 mm, trespasse horizontal de 2 mm, tecidos bucais em condições de normalidade e presença de todos os dentes permanentes até segundos molares. A linha média dentária superior apresentava-se coincidente com a inferior e com o plano sagital mediano. Havia ausência da curva de Spee e apinhamentos dentários. Observou-se tambémsuave giroversão do dente 22 e infraversão do dente
13 (Figura 2A-E),
Foi realizada a análise de Bolton total, a qual verifica a discrepância entre os tamanhos mésio-distais dos dentes superiores e inferiores até primeiros molares. O resultado foi 92,25, mostrando-se um pouco acima da relação média, entretanto, ainda dentro do padrão de desvio (91,3 + ou – 1,91). A análise de Bolton do segmento anterior teve como resultado 82,24, sendo
5,04 acima da relação média e 3,39 mm acima do desvio padrão (77,2 + 1,65), demostrando um excesso de material dentário inferior, ocasionando diastemas na região anterossuperior.
Na radiografia panorâmica inicial, observa-se características de normalidade das estruturas dentoalveolares como também a presença de todos os dentes permanentes. Verificou-se também dilaceração radicular do dente 33 e a presença dos germes dos dentes18, 28, 38 e 48 (Figura 3).


Opções de tratamento
Após o diagnóstico da má oclusão foi proposta ao paciente como primeira opção de tratamento a extração dos quatro primeiros pré-molares. Essa alternativa de tratamento foi originada por causa da convexidade do perfil, ausência de selamento labial em repouso, além da protrusão e vestibularização dos incisivos apresentadas pela paciente. Essa opção de tratamento foi rejeitada com a justificativa que de que não havia a queixa em relação ao perfil e estética da face e, principalmente, por não querer fazer as extrações dentárias.
Uma segunda opção de tratamento foi proposta de
maneira mais simplificada e sem extrações. Baseava-se no alinhamento e nivelamento dos dentes, fechamento do diastema superior e posterior e correção da discrepância de Bolton entre dentes superiores e inferiores.
Essa alternativa veio ao encontro dos anseios da paciente e seus responsáveis. Dessa maneira, o tratamento foi realizado mediante a segunda opção proposta.
Tratamento
Anteriormente ao início do tratamento foram feitas medições prévias inicias dos diâmetros mésio-distais dos dentes superiores e inferiores. Essas medições foram realizadas no modelo de estudo com o auxílio da régua de proporção áurea e compasso de ponta seca (Figura 4A-B).
Para realização do tratamento ortodôntico foram utilizados bráquetes pré-ajustados prescrição Roth, ranhura ,022”x ,028” e arcos contínuos. A sequência de fios foi realizada de forma a otimizar o tratamento e a movimentação ortodôntica, sendo iniciada pelo alinhamento dos dentes com fio 0,014” NiTi termoativados e, na sequência, com fio 0,016” e 0,018” de NiTi termoativados.
Após evolução dos fios de NiTi, foi inserido o fio 0,018” de aço e aplicadas gradativamente secções de mola aberta de NiTi para que promovesse a abertura de espaços e acomodação dos incisivos laterais com 6,33mm (Figura 5A). Uma vez posicionados nesta fase, esses espaços foram mantidos com mola de secção fechada, e utilizado o elástico corrente para o fechamento do diastema entre os Incisivos superiores (Figura 5B).
Após o fechamento do diastema, procedeu-se ao desgaste com disco diamantado dos dentes anteriores inferiores (Figura 6A) e uso de elástico corrente superior e inferior para o fechamento dos espaços generalizados (Figura 6B). Após a manutenção dos espaços nas regiões mesial e distal dos incisivos laterais superiores, iniciou-se a intercuspidação dos dentes superiores e inferiores (Figura 6C).
Após a remoção do aparelho foram realizadas as restaurações estéticas dos incisivos laterais superiores (Figura 7A) e a confirmação da dimensão mésio-distal com a régua de proporção áurea (Figura 7B) e com as medidas em milímetros na fotomontagem (Figura 7C).
Ao final do tratamento a paciente foi encaminhada para a instalação das contenções com placa de Hawley superior e 3X3 inferior (Figura 7D).
Na radiografia panorâmica, após a remoção do aparelho (Figura 8), percebeu-se o aspecto de normalidade dos dentes e estruturas adjacentes. No resultado final, observou-se uma oclusão funcional, correta relação de tamanho mésio-distal entre os incisivos superiores e inferiores, estética agradável, boa harmonia facial e, principalmente, atendido os anseios da paciente (Figura 9A-B).
Após 18 meses da remoção do aparelho observa-se a estabilidade estética e funcional do tratamento ortodôntico e o perfeito acabamento das restaurações feitas nos dentes 12 e 22, bem como a satisfação da paciente frente aos resultados obtidos (Figura 10A-E).






Na fase de tratamento ortodôntico houve acréscimo de resina nos incisivos laterais superiores correspondendo a 0,18 mm para o dente 12 e 0,23 mm para o dente 22. Simultaneamente, houve o desgaste interproximal dos incisivos inferiores em 4,36 mm.
Discussão
Aspectos relacionados à cooperação, discrepância de modelo, análise cefalométrica, perfil facial, potencial de crescimento, assimetrias dentárias, padrão facial e patologias devem ser avaliados antecipadamente ao início do tratamento ortodôntico21. Porém, muitos pacientes consideram importante somente a aparência e a autoimagem, fator esse que pode gerar divergências
com o profissional frente a alguma proposta de tratamento11. O paradoxo entre a satisfação do paciente e as metas ortodônticas faz com que o ortodontista considere primariamente os conceitos estéticos faciais em detrimento de outros fatores na escolha do tratamento ortodôntico16.
No presente caso clínico, o planejamento aceito pela paciente e seus responsáveis foi o tratamento sem extrações dentárias. Esse plano de tratamento implica na limitação da melhoria do perfil e do selamento labial da paciente, visto a impossibilidade de retração dos dentes anteriores. Esse aspecto foi exaustivamente explicitado aos envolvidos a fim de que compreendessem a limitação dos resultados do tratamento da má oclusão sem extrações dentárias.
O alinhamento e nivelamento dos dentes anteriores em um paciente com biprotrusão e ausência de
selamento labial faz com que haja um aumento da percepção da protrusão desses dentes, gerando um efeito estético negativo imediato1. Por causa da protrusão dentária ao final do tratamento, visto que a paciente não aceitou o tratamento com extrações e consequentes retrações dos dentes e lábios, fica evidente a necessidade de dar uma atenção maior aos conceitos
de beleza e proporção dos dentes anteriores20. Esses dentes desempenham um papel de grande relevância na beleza do sorriso e harmonia facial12.
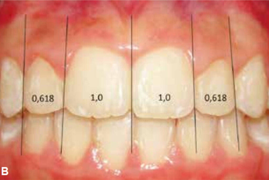
O uso dos conceitos de proporção áurea na Odontologia é extremamente simples, porém sua aplicação ainda provoca algumas dúvidas. Metodologias já foram descritas para facilitar sua utilização, e instrumentos como a régua de proporção áurea colaboram para o profissional elaborar padrões estéticos mais precisos e para determinar de maneira exata as relações de proporção entre os dentes21. A fórmula clássica da proporção áurea é uma constante que segue a razão 1:
1,61818 (Figura 11A-B).
A aplicação dos conceitos de “proporção áurea” valorizam a busca da beleza e a harmonia dos dentes, sendo um excelente guia para alcançar melhores resultados. É um método de simetria dinâmica na relação entre os dentes, que diagnostica e direciona o tratamento ao sucesso odontológico estético5.
Pelos conceitos de proporção áurea ficou definido para o presente caso clínico que o tamanho dos incisivos laterais superiores no sentido mésio-distal seria 61,8% do tamanho dos incisivos centrais superiores (Tabela 1). Desse modo, o acréscimo de resina nos incisivos laterais superiores (0,18 mm no dente 12 e 0,23mm no dente 22) (Tabelas 1 e 2) proporcionou ótima harmonia estética para os dentes anterossuperiores, entretanto, foi insuficiente para conferir proporcionalidade dos tamanhos dentários entre os arcos. Isso ocorreu devido ao excesso de material dentário inferior, sendo necessário ainda o desgaste proximal dos incisivos inferiores em 4,36 mm.
A satisfação da paciente e de seus responsáveis e a possibilidade de proporcionar um tratamento ortodôntico associado aos conceitos de proporção áurea valorizam o resultado final. Deve ser destacado que além dos resultados estéticos, houve melhora significativa na oclusão da paciente com um correto trespasse horizontal e vertical ao final do tratamento

Conclusão
A proporção áurea como guia de orientação para o profissional estabelece a elaboração de padrões mais harmoniosos para a construção da estética do sorriso.
Referências
1. Almutairi TK, Albarakati SF, Aldrees AM. Influence of bimaxillary protrusion on the perception of smile esthetics. Saudi
Medical Journal. 2015 Jan; 36(1):87-93.
2. Ballard ML. Assymetry in tooth size: a factor in the etiology, diagnosis and treatment of malocclusion. The Angle orthodontist. 1944; 1467-71.
3. Bhuvaneswaran M. Principles of smile design. Journal of Conservative Dentistry : JCD. 2010 Oct; 13(4):225-32.
4. Bolton WA. Disharmony in tooth size and its relation to the analysis and treatment of maloclusion. AJO. 1958; 28(3):17.
5. Câmara CALP. Estética em Ortodontia: Parte I – Diagrama de referências estéticas dentais (DRED). Rev Dent Press Estética. 2004; 1(1):40-57.
6. Carreiro LS, Santos PA, Raveli DB, Martins LP. A discrepância de tamanho dentário de Bolton na oclusão normal e nos
diferentes tipos de más oclusões, bem como sua relação com a forma de arco e o posicionamento dentário. Rev Dent
Press Ortod Ortop Facial. 2005; 10(3):97-117.
7. Carrilho EVP, Paula A. Reabilitações estéticas complexas baseadas na proporção áurea. Rev Portuguesa de Estomatologia, Medicina Dentária e Cirurgia Maxilofacial. 2007; 48(1).
8. Crosby DR, Alexander CG. The occurrence of tooth size discrepancies among different malocclusion groups. Am J
Orthod Dentofacial Orthop. 1989 Jun; 95(6):457-61.
9. Dorsey J, Korabik K. Social and psychological motivations for orthodontic treatment. Am J Orthod. 1977; 72(4):460-7.
10. Freeman JE, Maskeroni AJ, Lorton L. Frequency of Bolton tooth-size discrepancies among orthodontic patients. Am J
Orthod Dentofacial Orthop. 1996 Jul; 110(1):24-7.
11. Garbin CAS, Garbin AJI, Dossi AP, Macedo L, Macedo V. O tratamento odontológico: informações transmitidas aos
pacientes e motivos de insatisfação. Revista de Odontologia da UNESP. 2008; 37(2):177-81.
12. Heinlein WD. Anterior teeth: esthetics and function. The Journal of Prosthetic Dentistry. 1980 Oct; 44(4):389-93.
13. Leal RC, Tanque LN, Souza GSA, Carmadella EG. Análises de modelos: uma revisão da literatura. R Clin Ortod Dental
Press. 2006; 5(1):64-76.
14. Levin EI. Dental esthetics and the golden proportion. The
Journal of Prosthetic Dentistry. 1978 Sep; 40(3):244-52.
15. Lombardi RE. The principles of visual perception and their
clinical application to denture esthetics. The Journal of Prosthetic Dentistry. 1973 Apr; 29(4):358-82.
16. Moro A, Freitas MR, Henriques JFC, Janson G. Estudo da recidiva em pacientes com má oclusão de Classe II, tratados
pela técnica do Arco de Canto com extrações de pré-molares, pertencentes às categorias de crescimento de Petrovic. J
Bras Ortod Ortop Facial. 2006; 11(63):250-73.
17. Pagani, C.; Bottino, M.C. Proporção áurea e a Odontologia estética. J Bras Dent Estet. 2003 jan/mar; 2(5):80-85.
18. Preston JD. The golden proportion revisited. Journal of Esthetic Dentistry. 1993; 5(6):247-51.
19. Ramos AL, Suguino R, Terada HH, Furquin LZ, Silva Filho OG. Considerações sobre análise da discrepância dentária
de Bolton e a finalização ortodôntica. Rev Dent Press de Ortod e Ortop Maxilar. 1996 Nov/Dez; 1(2):86-106.
20. Rossetti A, De Menezes M, Rosati R, Ferrario VF, Sforza C. The role of the golden proportion in the evaluation of facial
esthetics. The Angle Orthodontist. 2013 Sep; 83(5):801-8.
21. Ruellas ACO, Ruellas RMO, Romano FL, Pithon MM, Santos RL. Extrações dentárias em Ortodontia: avaliação de
elementos de diagnóstico. Dent Press J Orthod. 2010; 15(3):134-57.
22. Siqueira PM, Nahsan FPS, Naufel FS, Formighieri LA, Schmitt VL. Incidência da proporção áurea regressiva após tratamento ortodôntico. Rev Odontol Bras Central. 2012; 21515-8.
23. Snow SR. Esthetic smile analysis of maxillary anterior tooth width: the golden percentage. Journal of Esthetic Dentistry
1999; 11(4):177-84.
24. Wolfart S, Thormann H, Freitag S, Kern M. Assessment of dental appearance following changes in incisor proportions.



